Dentální
hygiena
Provozní doba
Služby
Prevence a zdravé zuby s individuálním přístupem.
Vstupní dentální hygiena + kartáček
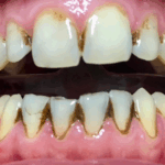
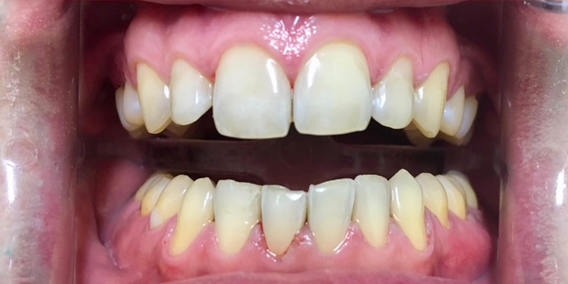
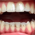
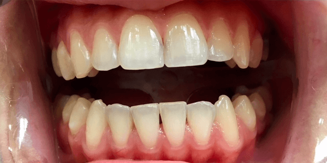
Vstupní dentální hygiena- vhodná při první návštěvě nebo po více než dvou letech. Součástí je vyšetření stavu dásní a zubů, odstranění zubního kamene, pigmentací metodou airflow a edukace správné domácí péče. Vezměte s sebou kartáčky a pomůcky, které doma používáte.
Hloubkové čištění – 1. kvadrant
Ošetření určené pro pacienty s parodontitidou (paradentózou). Zahrnuje odstranění zubního kamene a plaku z hlubokých parodontálních kapes pod dásní pomocí ručních nástrojů a ultrazvuku. Cílem je zastavit a stabilizovat zánět a podpořit hojení dásní. Provádí se po vstupní hygieně nebo na doporučení dentální hygienistky či zubního lékaře. Poznámka: Ošetření může být rozděleno na dvě a více návštěv a může být prováděno pod lokální anestezií.
Kontrolní dentální hygiena
Kontrolní dentální hygiena je pravidelná návštěva, která navazuje na vstupní hygienu. Zahrnuje odstranění zubního kamene nad dásněmi, airflow, kalibrace mezizubních kartáčků. Doporučená obvykle po maximálně 6 měsících.
Dětská hygiena do 12 let + kartáček
Detekce plaku pomocí barevného indikátoru. Šetrné odstranění plaku a pigmentací, motivace a výuka správného čištění hravou formou, doporučení pomůcek. Vhodné cca od 4 let. Do ordinace s sebou prosím vezměte kartáčky a pomůcky, které doma obvykle používáte.
Kombinované bělení Purewhitening
Zahrnuje otisk zubů, zhotovení individuálních nosičů pro aplikaci bělícího gelu, krabičku na nosiče, bělící gel minimálně na 14 nocí, materiál pro ordinační fázi a podrobnou instruktáž k postupu bělení. Záruka dosažení odstínu B1 podle vzorníku. Otisk zubů se provádí po dentální hygieně.
Dětská hygiena 12 - 15 let
Detekce plaku pomocí barevného indikátoru. Šetrné odstranění plaku a pigmentací, motivace a výuka správného čištění hravou formou, doporučení pomůcek. Vhodné cca od 4 let. Do ordinace s sebou prosím vezměte kartáčky a pomůcky, které doma obvykle používáte.
Dětská hygiena 15 -18 let
Šetrné odstranění zubního kamene, plaku a pigmentací, motivace a instruktáž, doporučení pomůcek. Do ordinace s sebou vezměte kartáčky a pomůcky, které doma obvykle používáte.
Airflow
Airflow je šetrná a účinná metoda čištění zubů pomocí jemného prášku, vody a vzduchu. Odstraňuje pigmentace od kávy, čaje nebo kouření, dále zubní plak z těžko dostupných míst např. kolem fixních rovnátek. Vhodné jako doplněk mezi pravidelnými dentálními hygienami.
Domácí bělení Purewhitening
Zahrnuje otisk zubů, zhotovení individuálních nosičů pro aplikaci bělícího gelu, bělící gel a instuktáž, jak s bělením zacházet. Vhodné pro světlejší odstín skloviny. Otisk zubů se provádí po dentální hygieně.
Objednat
- Průběžně se vzdělávám, protože obor se stále vyvíjí
- Pracuji s nejmodernějšími přístroji a bezbolestně
- Záleží mi na tom, jak se u mě cítíte

Bc. Helena Branná, DiS.
Ukázky mé práce







